Esthetic Dentistry
-
IN OFFICE TEETH WHITENING
-
HOME BLEACHING
Home bleaching kits are a convenient, time-saving option for patients who want to maintain their tooth shade and achieve a longer-lasting, brighter smile without frequent office visits.
Designed for easy at-home use, these kits include custom-fit trays and professional-grade Zoom whitening gel that gradually brighten your teeth while minimizing sensitivity. For busy individuals, a short daily or nightly routine can keep results consistent and extend the effects of in-office treatments, delivering an even, natural-looking brightness with minimal interruption to your schedule.
-
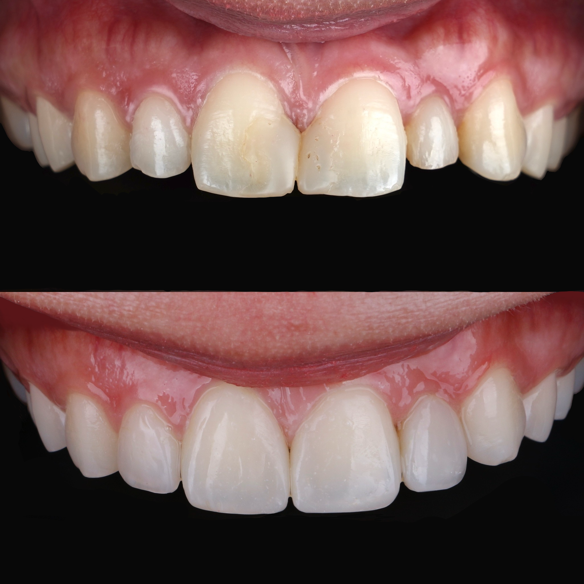
CERAMIC VENEER
Ceramic Veneers — where art and science meet
We believe beauty, function, and preservation are essential to esthetic dentistry. Ceramic veneers are more than a smile upgrade — they’re a carefully crafted art piece built on clinical precision. We listen to your preferences so we can design and create your veneers together, achieving a result that reflects your personality and meets long-term dental health goals.
-
COMPOSITE VENEER
Composite veneers are a convenient, cost-effective aesthetic option for smile improvements that can be completed in a single visit;
With our skilled dentists, this is far from an ordinary filling—our conservative restorations are meticulously crafted to match your tooth color, shape, and texture, as we take time to listen closely to your goals, the result will subtly and confidently enhances your smile.
-
LASER THERAPY
Laser technology has transformed esthetic dentistry by making procedures more precise, less painful, and faster to heal;
lasers allow clinicians to sculpt soft tissue with minimal bleeding and swelling, reduce the need for sutures, and lower the risk of infection while preserving healthy tissue, which yields cleaner margins for restorations, effective depigmentation, and precise gum contouring.
Patients benefit from reduced anesthesia requirements, shorter appointment times, and quicker recovery, making both cosmetic and surgical dental care more comfortable and convenient overall.